Un mondo nuovo: SARS-CoV2 la rivincita dell’ecografia

Foto dell'autore

By Francesco Centorrino

“Se non vogliamo farci travolgere e stravolgere, dobbiamo considerare i

segnali che questo evento storico sta facendo emergere e ripensare il mondo.

Perché a questo stiamo andando incontro: a un mondo nuovo.”

(Ilaria Capua, “Il dopo”)

La lunga pausa e la negazione della realtà

Qualcuno ha paragonato questa pandemia alla peste manzoniana, altri invece all’Influenza spagnola, altri ancora ne hanno ridimensionato il ruolo, disegnandola come l’ennesima epidemia e ci sono stati anche i negazionisti del COVID-19 (Coronavirus disease 2019).

La verità è che era dai tempi dell’esplosione dell’AIDS che non si vedeva una malattia con un tale impatto mediatico, ma, a differenza del virus HIV, che sembrava privilegiare delle categorie ben precise (omosessuali e tossicodipendenti), SARS-CoV-2 (Severe Acute Respiratory Syndrome Coronavirus 2) ha dimostrato una via di trasmissione non soltanto subdola, ma estremamente impattante sulla vita sociale e professionale delle persone, quella per droplets, quelle minuscole goccioline di saliva che produciamo quando parliamo o respiriamo, di qui l’uso della celeberrima mascherina e dell’ormai famigerato distanziamento sociale.

La lunga quarantena

L’esplosione del contagio ha reso necessaria la lunga quarantena, che è stata vissuta nei modi più disparati: bastava navigare sui social network per trovare idee assurde per trascorrere il tempo, ma anche sfoghi di chi non era abituato a una così lunga pausa dalla cosiddetta “vita normale”. Per chi ne aveva una un po’ così il lockdown è stata una liberazione dalle relazioni inutili, tipo il collega rompiscatole, il parente poco gradito o l’amico d’infanzia con cui non si ha più nulla da dire.

In molti però non hanno potuto frequentare amici, partner, familiari, ovvero quella rete di persone che contribuisce a riempire la vita di ciascuno. Il lavoro si è trasformato in smart-working, digitalizzando forzatamente un mucchio di persone prima poco avvezze alla tecnologia. Chi era già da tempo innamorato dei computer ha finito per frequentarli più dei famosi “congiunti” del decreto Conte. Frequentando i social fin dall’inizio ci si è imbattuti nelle teorie più strampalate, le più quotate però prevedevano sempre il coinvolgimento di Bill Gates, dei vaccini e dei microchip sottopelle, mezzi potentissimi per instaurare il fantomatico Nuovo Ordine Mondiale. Su questa traccia il tema veniva svolto a scelta con maggiore o minore fantasia dal complottista di turno, arrivando a trame così articolate da far impallidire gli sceneggiatori delle serie televisive.

Una tragedia sanitaria

Al di là dell’ironia però si tratta della più grande tragedia collettiva del nostro tempo: il nostro nemico è ovunque e potremmo rischiare noi stessi di propagarlo. Soprattutto nelle regioni più colpite tutti conosciamo qualcuno che si è ammalato o che è addirittura morto. In molte città le ambulanze passavano ogni cinque minuti, squarciando il più angoscioso silenzio.

A marzo la confusione era tanta, anche tra i virologi, figuriamoci nel resto della popolazione; ben presto però sono iniziate a emergere informazioni fondamentali, come la modalità di trasmissione, il che ci ha consentito di imparare a proteggere noi stessi e gli altri. Ora non navighiamo più nel buio.

Tutta colpa sua

Illustrazione del SARS-CoV2 creata dal CDC
Figura 1 – SARS-CoV2 ed ecografia: Illustrazione del SARS-CoV2 creata dal CDC

SARS-CoV2 è un virus a RNA della famiglia dei Coronavirus, chiamati così anche per la loro forma molto simile alla corolla di un fiore. È dotato di envelope, cosa che lo rende vulnerabile all’inattivazione da parte dei più comuni disinfettanti. Molti degli infetti restano asintomatici, da ciò deriva la necessità di controllare la diffusione del virus con i dispositivi di protezione individuale a prescindere da ogni possibile sintomatologia (source control), altri sviluppano febbre (motivo per cui è comunque utile controllare la temperatura all’ingresso nei locali e negli ospedali), gli altri sintomi comprendono tosse secca, artralgie, congestione nasale, gola infiammata, congiuntivite, diarrea, perdita dell’olfatto e del gusto, astenia, rash cutanei.

1 persona su 5 sviluppa tuttavia difficoltà respiratorie (dispnea) e sono stati descritti diversi quadri temibili, dalla tromboembolia polmonare, alla malattia di Kawasaki (una vasculite sistemica febbrile autolimitante che colpisce i medi vasi), alla più nota polmonite insterstiziale. Secondo i dati ISTAT del 16 luglio sulle cause di morte nei deceduti positivi a SARS-CoV-2, il virus risulta essere direttamente responsabile della morte nell’89% dei casi, mentre per il restante 11% le cause di decesso sono le malattie cardiovascolari (4,6%), i tumori (2,4%), le malattie del sistema respiratorio (1%), il diabete (0,6%), le demenze e le malattie dell’apparato digerente (rispettivamente 0,6% e 0,5%).

COVID-19 può essere intrinsecamente fatale, come dimostra il 28% di persone decedute, che non presentavano comorbilità. Questo concetto è fondamentale, poiché da qui derivano una lunga serie di mistificazioni, che vanno dalla semplice ignoranza a vere e proprie teorie complottiste. I minimizzatori hanno subito posto l’accento sulle malattie concomitanti, che in ordine di frequenza sono: cardiopatie ipertensive (18% dei decessi), diabete mellito (16%), cardiopatie ischemiche (13%), tumori (12%).

Le malattie croniche delle basse vie respiratorie, le malattie cerebrovascolari, le demenze o la malattia di Alzheimer e l’obesità si attestano al 10%. Chi definisce più deboli queste persone, arrogandosi il diritto di giustificarne la morte in questa maniera, non soltanto è privo di empatia, ma commette un grave errore scientifico, poiché si tratta di malattie frequentissime: basta anche solo indagare fra i propri conoscenti per capire quanto sia difficile trovare un individuo sopra i cinquant’anni che non presenti una di queste condizioni.

All’inizio della pandemia i contagi sono stati maggiori nella popolazione anziana, ma con la ripresa delle attività, ivi comprese quelle di tipo vacanziero l’età media dei contagiati è scesa notevolmente, tuttavia la letalità continua a essere maggiore negli anziani. Se nei giovani è pericolosa l’iperattivazione del sistema immunitario con la cosiddetta “tempesta citochinica”, negli anziani la risposta dell’organismo tende a essere deficitaria (questo vale per tutte le malattie infettive, non soltanto per il COVID-19) e ciò può portare al decesso, a maggior ragione se vi sono delle malattie concomitanti.

Le complicanze di COVID-19 che causano la morte dei pazienti sono soprattutto la polmonite (79% dei casi) e l’insufficienza respiratoria (55%); meno frequentemente lo shock (6%), la sindrome da distress respiratorio acuto (ARDS), l’edema polmonare (6%), le complicanze cardiache (3%), la sepsi e le infezioni non specificate (3%).

Il ruolo dell’ecografia nel combattere la SARS-CoV2

In questo scenario drammatico l’ecografia polmonare ha da subito assunto un ruolo fondamentale come strumento in grado di determinare se il paziente presentasse interessamento polmonare o meno. Nella prima situazione i pazienti devono essere ospedalizzati, nella seconda possono essere gestiti al domicilio.

In genere in pronto soccorso si parte da una radiografia, se questa è negativa, si può vedere con l’ecografia se vi siano segni di polmonite. Questa metodica ha alcuni innegabili vantaggi: costa poco, è eseguibile su larga scala, non è invasiva, né prevede l’utilizzo di radiazioni e permette di razionalizzare le richieste di CT, che va usata per escludere una polmonite quando sia RX che ECO risultano negative.

Regioni esplorate con l’ecografia polmonare.
Figura 2 – SARS-CoV2 ed ecografia: Regioni esplorate con l’ecografia polmonare.

L’ecografia polmonare può essere eseguita con sonda convex e lineare, seguendo due approcci: quello intercostale per visualizzare bene il parenchima polmonare e quello sottocostale per indagare bene la pleura e il basso polmone. Gli ultrasuoni permettono di rilevare solamente lesioni periferiche (quelle centrali sono visibili solo in CT), tuttavia il SARS-CoV2 tende a produrre lesioni in questa sede.

Con l’ecografo si riesce a vedere una polmonite, ma in maniera aspecifica, per attribuirla come COVID-19 occorre il tampone, per gli altri agenti eziologici ci sono altri test, tuttavia in un periodo di pandemia è abbastanza logico pensare subito al SARS-CoV2. In tutti i giornali sono circolate immagini TC dei polmoni devastati dal COVID-19: questi presentano opacità “a vetro smerigliato”, un pattern tipico della polmonite interstiziale; in seguito i polmoni finivano per apparire sempre più bianchi per via delle consolidazioni, ovvero di aree edematose e infarcite di elementi infiammatori, dunque “solide” e diverse dal parenchima polmonare, normalmente spugnoso.

La CT è un esame panoramico e permette di vedere completamente la morfologia dell’organo, mentre l’ecografia polmonare consente di esplorare una regione alla volta e con immagini molto meno intuitive. L’ecografia polmonare inoltre si basa molto sugli artefatti, rispetto per esempio all’ecografia addominale; si tratta di un linguaggio completamente diverso. Occorre precisare inoltre che vi sono tanti tipi di pazienti: se ad esempio in questo periodo arriva in pronto soccorso un paziente giovane con una sospetta polmonite, perché, immaginiamo, ha da poco festeggiato il suo compleanno assieme agli amici, ignorando le norme di sicurezza e all’ecografia vengono rilevati segni di polmonite il medico sospetta il COVID-19 ancor prima di avere in mano l’esito del tampone; al contrario in un soggetto anziano con multiple comorbidità la diagnosi differenziale diventa assai più difficoltosa.

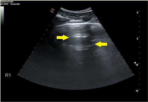
Questa è un’area di tessuto polmonare normale: sono presenti le linee A (frecce gialle) date dalla riflessione degli ultrasuoni sulla pleura.
Figura 3 – SARS-CoV2 ed ecografia: Questa è un’area di tessuto polmonare normale: sono presenti le linee A (frecce gialle) date dalla riflessione degli ultrasuoni sulla pleura. Credit: https://www.efsumb.org/blog/archives/26658 – autori: dott. Soccorsa Sofia e dott. Michele Spampinato

Normalmente il parenchima polmonare non è visibile, perché pieno d’aria, che è anecogena, si vedono solo le cosiddette linee A, artefatti bianchi orizzontali dati dalla riflessione degli ultrasuoni sulla pleura. In caso di polmonite cominciano ad apparire degli artefatti verticali, le cosiddette linee B, che nascondono le linee A e sono dovute al fatto che la porzione di tessuto polmonare esplorata non è areata.

Queste linee, dapprima non confluenti, con l’aggravarsi della malattia finiscono per confluire creando il cosiddetto “polmone bianco” (white lung). Quando la polmonite peggiora ulteriormente si vedono delle vere e proprie consolidazioni (iperecogene, cioè bianche), inizialmente a livello pleurico, di piccole dimensioni, fino ad arrivare a un quadro di vera e propria epatizzazione (il polmone diviene così denso da sembrare un fegato e ciò si vede ancora meglio con una scansione sottocostale).

Le immagini ecografiche sono correlate con quelle CT, ad esempio in quest’immagine le zone di parenchima normale avranno un aspetto simile alla situazione A della fig.4, mentre le opacità “a vetro smerigliato” (ground glass) in ecografia appariranno come le immagini B e C, mentre le zone in cui vi sono consolidazioni avranno un aspetto più D o E, questo laddove si tratti di alterazioni periferiche.

Conclusioni su SARS-CoV2 ed ecografia

Questa metodica pertanto consente di valutare l’andamento della polmonite (aggravamento o recupero), guidando la decisione clinica del medico in vista di trattamenti più intensivi. Inoltre con gli ultrasuoni si possono osservare anche le eventuali comorbilità del paziente, per esempio uno scompenso cardiaco, tutto ciò avviene al letto del malato o in pronto soccorso, evitando nel primo caso di spostare in altri reparti dei pazienti positivi al SARS-CoV2 (con tutti i rischi di contaminazione che ne conseguono), nel secondo caso di far transitare in giro per l’ospedale persone che possono avere il virus, o al contrario di esporre al contagio persone sane.

La sonda ecografica può divenire un moderno fonendoscopio, un occhio tecnologico in grado di sostituire l’esame obiettivo tradizionale in situazioni a forte rischio di contagio per il personale sanitario, come nell’attuale pandemia da COVID-19. Gli ecografi portatili sono i migliori da questo punto di vista, anche perché sono più facilmente disinfettabili e più maneggevoli.

Si tratta di una tecnica operatore-dipendente, negli ospedali però sono tanti gli ecografisti di ottimo livello e l’ecografia polmonare non è una delle più difficili da imparare. Questa metodica che sembrava essere stata adombrata da tecniche di imaging più moderne e precise, ha invece ritrovato un ruolo di primaria importanza per la sua capacità di indagare le condizioni cliniche più disparate, per la facile reperibilità di ecografi, la mancanza di radiazioni (nei bambini si tratta di un aspetto fondamentale) e anche per quel connubio perfetto tra bellezza e utilità che la rende l’anello di congiunzione tra la scienza e l’arte.

Si ringrazia Giulia Guidotti per l’articolo “Un mondo nuovo: SARS-CoV2 ed ecografia e la rivincita dell’ecografia”

Fonti

Fonti immagini